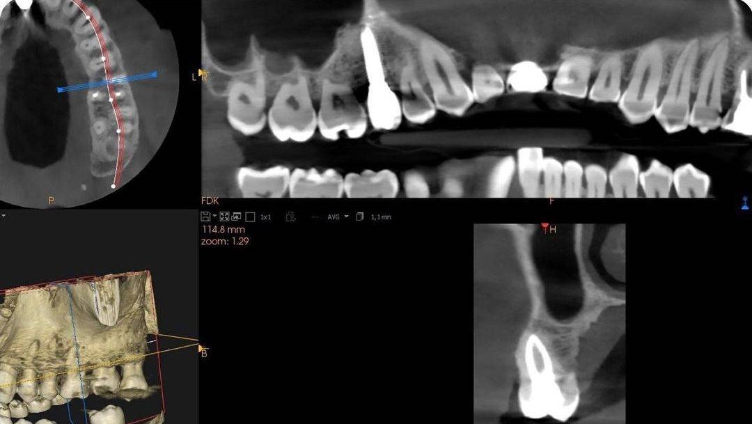
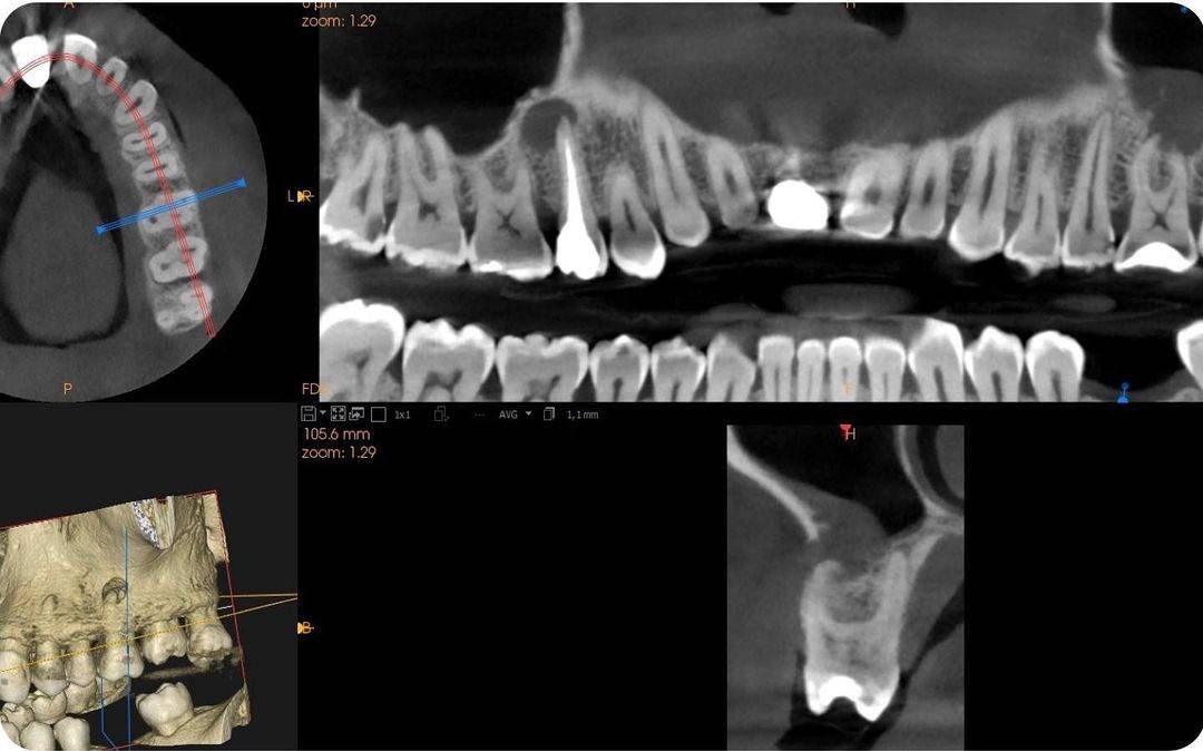
Tratamiento:

Tratadores de conducto endodoncia en 26 e implante dental en 15. Revisión a los 18 meses.

Este sitio web utiliza cookies propias y de terceros para obtener estadísticas sobre los hábitos de navegación del usuario, mejorar su experiencia y permitirle compartir contenidos en redes sociales. Usted puede aceptar o rechazar las cookies, así como personalizar cuáles quiere deshabilitar. Puede encontrar toda la información den nuestra Política de Cookies política de cookies, pinche el enlace para mayor información.

ACEPTAR
Aviso de cookies